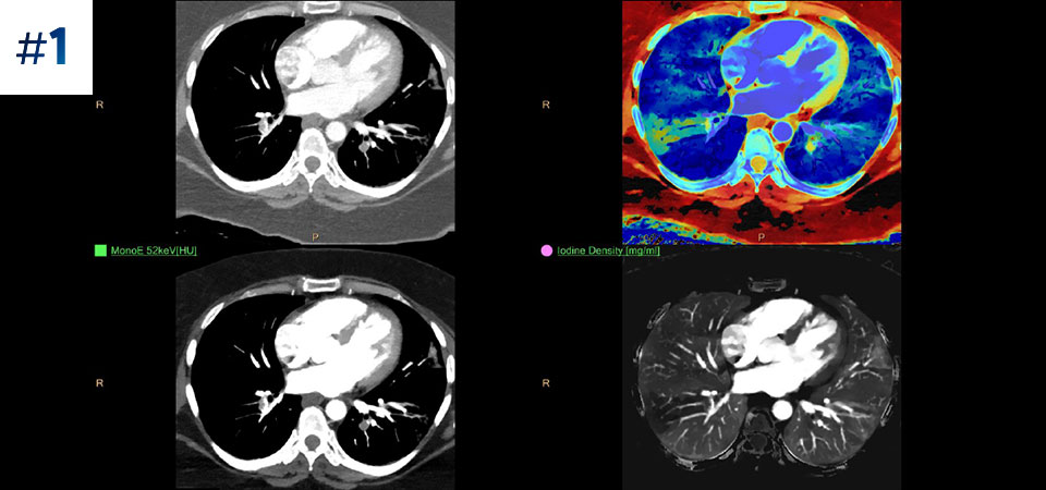
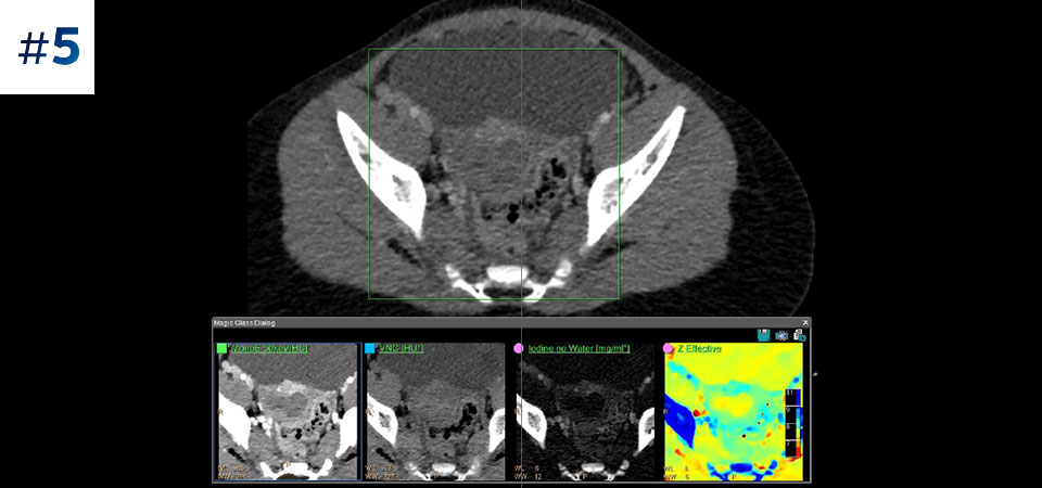
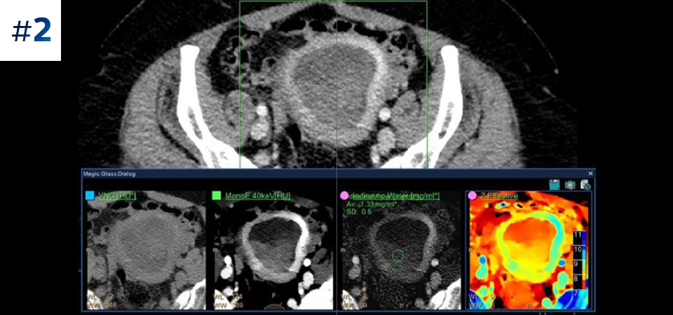
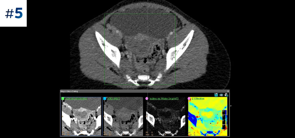
With detector-based spectral, you acquire multiple layers of data—conventional and spectral—within a single exposure and without special scan modes for improved tissue characterization and visualization.
Learn more about detector-based spectral at the Learning Center.

Scan as usual A single scan for fast, low-dose conventional and spectral data for every patient, every time.

Always available 100% spectral, 100% of the time for results that are always available on-demand, even retrospectively.

Reduced follow-up exams Improved tissue characterization and visualization may reduce the need for follow-up scanning for sub-optimal exams and incidental findings.

Across patient types Benefits a wide range of patient types from pediatric to bariatric.
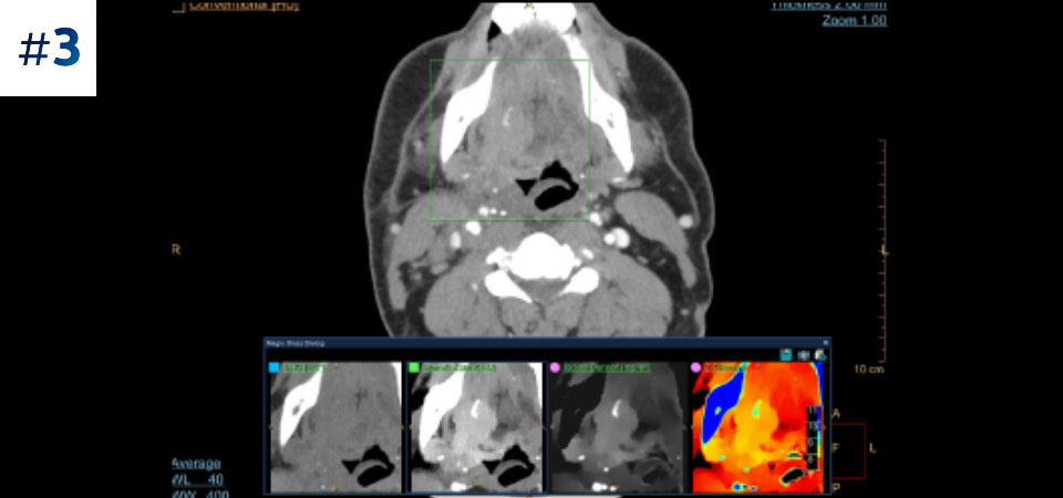
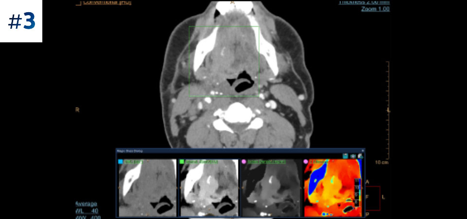
Neck mass
Check your answers here

Experience the simplicity of spectral-detector CT.

See the difference between spectral-detector CT and conventional CT

Learn about the advantages of spectral-detector CT

Re-experience the Philips 2020 spectral CT virtual summit

Discover all CT solutions
You are about to visit a Philips global content page
ContinueEz a weboldal kizárólag olyan személyek számára készült, akik mint szakemberek használják az orvostechnikai eszközöket, ideértve az orvosi szakmát gyakorló személyeket, az egészségügyi intézmények képviseletében eljáró magánszemélyeket vagy az orvostechnikai eszközöket szakmai célból vásárlókat.
Ön olyan személy, aki megfelel a fenti kritériumoknak?