FieldStrength MRI magazine
User experiences - April 2015
In any type of neurological MRI, it’s crucial to gather as much information as possible to increase diagnostic confidence. Whether it’s an exam for MS, brain tumor, or stroke, scanning must be fast and efficient, and images must provide high detail. Ingenia 3.0T is ideal for demanding brain imaging due to its high SNR, good spatial resolution, and flexibility to accommodate many different protocols. Fondation Rothschild (Paris, France) is a tertiary care hospital that specializes in head and neck care. Neuroradiologist Julien Savatovsky, MD, has been using Ingenia 3.0T since 2012 to optimize image quality and examination times for a broad range of neuro applications.

Julien Savatovsky, MD, is neuroradiologist. His clinical interests include brain tumor imaging, inflammatory diseases, HIV-associated brain disease, head and neck vascular CT, and neuro-ophthalmology. He was educated and performed his residency and subspecialty qualification at Université Pierre et Marie Curie, Paris and a fellowship at Pitié-Salpêtrière hospital.
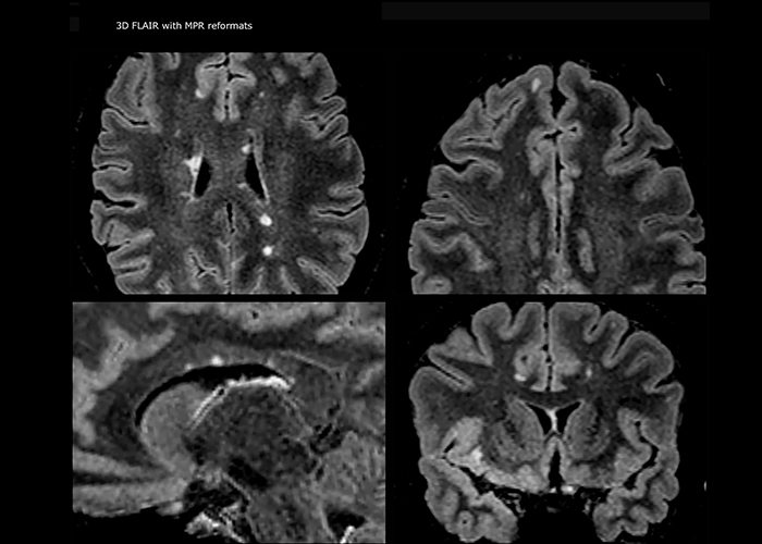
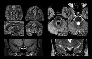
When multiple sclerosis (MS) is suspected, clinicians need a diagnosis early on, so treatment can begin as soon as possible. “A challenge for imaging is that MS lesions in the brain and spine may be very small,” says Dr. Savatovsky. “We need precise imaging to tell exactly where the lesion is, so we need high quality, very high resolution images, preferably in 3D[1]. We need to know if a high T2 signal intensity is suggestive of MS or just aspecific. And we want to visualize active lesions very well.”
“Ingenia 3.0T provides us very good image quality with high SNR, even if we push the resolution. For example, in FLAIR images we may have an isotropic resolution of 0.9 mm. Ingenia allows us to use 3D T1 TSE with BrainView, which has a better sensitivity than 2D spin echo imaging[2] and 3D gradient echo imaging. Ingenia also provides highly reproducible exams, which is important in MS imaging so that follow-up exams at different time points are done the same way.”
For MS imaging in the brain, Dr. Savatovsky uses 3D FLAIR as the basic sequence to visualize the lesions and assess the situation and lesion load. “We count the lesions in each location to determine if the criteria of the disease are fulfilled. We use a T2-weighted sequence because our neurologists are used to it. We compare the lesion load on FLAIR with a 3D T1 post-contrast sequence to help us determine whether lesions are old or new. We typically administer the contrast before the patient enters the machine because it shortens the examination time and allows to visualize active lesions that tend to be more visible after several minutes. When a differential diagnosis is difficult, we add sequences such as susceptibility imaging, because some focal MS lesions have a small vein in the center[3].”

“For MS imaging in the spine, the basic examination includes a sagittal T2 and a post-contrast sagittal T1-weighted sequence in the whole spine. These are done in two stacks and using thin slices, for example 2 mm, without gap. As in the brain, the T2-weighted sequence visualizes the overall lesion load and helps determine if lesions are old or new. The post-contrast T1- weighted sequence helps in assessing if a lesion is new. We will sometimes add a T1 inversion recovery sequence, which has very good sensitivity, if we don’t find any lesions on T2,” Dr. Savatovsky says. “Additionally, if there is contrast enhancement outside the spine, it’s usually not MS but another kind of inflammation.”
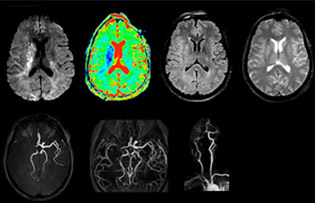
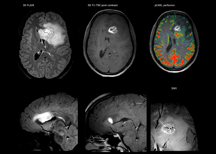
Dr. Savatovsky uses five or six different ExamCards for imaging a mass or a known tumor in the brain. “If there is a mass in the brain we try to characterize it to inform the neurologist for determining next steps or to help neurosurgeon prepare for a surgery or biopsy. For follow-up after treatment we have different protocols for different treatments and we adapt for intra- or extra-axial tumors.” “That is the most comprehensive exam we would do. Ingenia has the good spatial resolution and high SNR to provide all this information, and the flexibility to use shorter sequences, so we can do a very comprehensive examination in a limited time.”
“The biggest challenges are properly characterizing the lesion and giving the surgeon all the information needed, such as the location of vessels and functional areas. Sometimes a very comprehensive exam is necessary, such as when a mass has been discovered at another hospital after which the patient is referred to us. We then do both lesion characterization and preoperative imaging in one exam, so both morphologic and functional assessment. For morphologic assessment we will use pre- and post-contrast T1-weighted imaging, FLAIR to assess infiltration, and diffusion. For functional characterization we will perform perfusion, spectroscopy, and susceptibility weighted imaging to look for micro vessels or micro hemorrhage inside the lesion[4]. For preoperative imaging we perform specific morphologic imaging that is compatible with the navigation system; depending on the location of the tumor, we would do fMRI or DTI.”
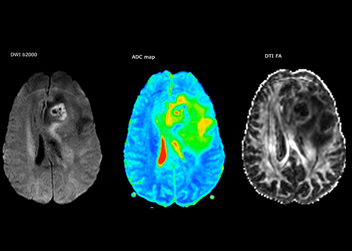
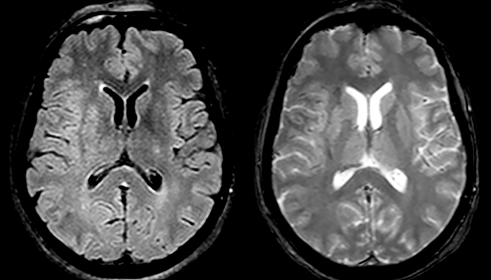
“In France, every stroke is usually imaged with MRI, not CT, even for emergency treatment.” “In France, stroke is usually imaged with MRI, not CT, even for emergency treatment. This is because MRI helps us directly visualize ischemia in the acute phase, but can also help rule out differentials such as MS and hematoma. In addition, we can assess the intracranial and extracranial vessels during the same examination,” says Dr. Savatovsky.
The first challenge in MRI of stroke is speed. The patient typically arrives from an ambulance in the MRI preparation room and the installation is done on a separate dock outside the scanner room. “The venous access is placed during the neurological examination. If the delay from the first symptoms allows the patient to receive thrombolysis we do a very fast examination that typically lasts about 11 minutes including the pre-scans. In the case of transient ischemic stroke we usually add ASL perfusion because in some symptoms with negative diffusion, ASL sometimes indicates a vascular origin.”
“Ingenia provides great flexibility in the parameters setting. We can tune a sequence the way we want,” says Dr. Savatovsky. “For example, in a stroke exam we use a FLAIR sequence of about two minutes instead of the four-minute FLAIR we use for MS. The diffusion is 30 seconds, the T2*-weighted scan is 30 seconds, the angiography scan time is less than one minute. Ingenia is a great scanner in that situation; even with these fast sequences we can achieve good images with good SNR. When the first sequence tells us that it’s not an ischemic stroke but a hemorrhagic stroke, we may switch to a time-resolved angiography to look for vascular malformations and venous thrombosis.
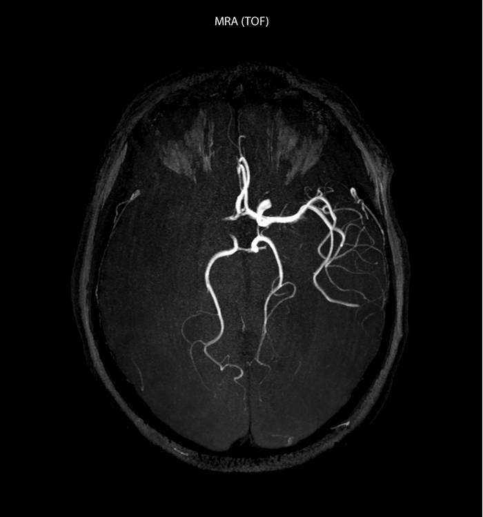
“Every center is different, but for me the ideal protocol for stroke includes diffusion weighted imaging, FLAIR, and fast susceptibility imaging,” says Dr. Savatovsky. “Our fast susceptibility weighted imaging takes 50 seconds, so it’s as fast as T2*-weighted imaging. It visualizes hemorrhage but also the clots. We also do 3D MR angiography that provides information on cervical and brain vessels. If the patient does not need immediate treatment, or if additional information is needed to decide on treatment, we might also add perfusion imaging and post-contrast T1-weighted imaging.”
The hospital uses the 32-channel dS Head coil for every examination type that doesn’t include the lower neck. “This coil’s biggest advantage is the exceptional SNR. This allows us to use higher acceleration factors than with the standard coil.” “In some cases, the high resolution that this coil provides is really necessary. For example, in a head and neck case when we look for a small lesion or small vascular conflict, or in IAC imaging or fifth cranial nerve imaging, we want to achieve very good spatial resolution. In brain disease it’s always better to get more details than less. We gain more diagnostic confidence when we have more information.”
1. Mills RJ, Young CA, Smith ET. 3D MRI in multiple sclerosis: a study of three sequences at 3 T. Br J Radiol. 2007 May;80(953):307-20. Epub 2006 Sep 27. 2. Hodel J, Outteryck O, Ryo E, Bocher AL, Lambert O, Chéchin D, Zéphir H, Lacour A, Pruvo JP, Vermersch P, Leclerc X. Accuracy of postcontrast 3D turbo spin-echo MR sequence for the detection of enhanced inflammatory lesions in patients with multiple sclerosis. AJNR Am J Neuroradiol. 2014 Mar;35(3):519-23. Epub 2013 Nov 7 https://www.ncbi.nlm.nih.gov/pubmed/24200899 3. Sati P, George IC, Shea CD, Gaitán MI, Reich DS. FLAIR*: a combined MR contrast technique for visualizing white matter lesions and parenchymal veins. Radiology. 2012 Dec;265(3):926-32. Epub 2012 Oct 16. 4. Kickingereder P, Wiestler B, Sahm F, Heiland S, Roethke M, Schlemmer HP, Wick W, Bendszus M, Radbruch A. Primary Central Nervous System Lymphoma and Atypical Glioblastoma: Multiparametric Differentiation by Using Diffusion-, Perfusion-, and Susceptibility-weighted MR Imaging. Radiology. 2014 May 3:132740. [Epub ahead of print]
https://www.ncbi.nlm.nih.gov/pubmed/17005516
https://www.ncbi.nlm.nih.gov/pubmed/23074257
https://www.ncbi.nlm.nih.gov/pubmed/24814181
Results from case studies are not predictive of results in other cases. Results in other cases may vary. Results obtained by the facility described in this article may not be typical for all facilities.

You are about to visit a Philips global content page
ContinueEz a weboldal kizárólag olyan személyek számára készült, akik mint szakemberek használják az orvostechnikai eszközöket, ideértve az orvosi szakmát gyakorló személyeket, az egészségügyi intézmények képviseletében eljáró magánszemélyeket vagy az orvostechnikai eszközöket szakmai célból vásárlókat.
Ön olyan személy, aki megfelel a fenti kritériumoknak?